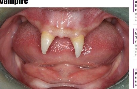
Dentes pontudos fazem garoto chinês se parecer um vampiro


Um garoto chinês que cresceu com dois dentes da frente pontudos tem intrigado especialistas.

Os dentes de Wang Pengfei, 16 anos, fazem com que ele se pareça um vampiro. O garoto foi levado para o hospital em Chongqing, no sudoeste da China, para realizar uma série de exames.

O menino, que nasceu com pouquíssimo cabelo, segundo o tabloide The Sun, tem apenas os dois dentes na boca.
Apesar das tentativas de sua mãe, Wang Hui, os médicos disseram que o menino só poderá operar quando for adulto. O custo para a cirurgia ficaria por volta de R$ 268 mil.

Wang Hui, no entanto, teme que seu filho se torne mais e mais isolado entre os adolescentes.

Wang Pengfei tem tanta vergonha de sua condição que acaba se recusando a posar para fotos, deixando sua mãe ainda mais preocupada:

— Ele não tem amigos e, gradualmente, foi percebendo que é diferente dos outros jovens.



Comentários